| 湘南美容外科脂肪吸引最高責任者である竹田先生による脂肪吸引のフォトギャラリー!中国在住の中国人の患者様!中国での脂肪吸引の再手術は日本で!二の腕〜 |
2021年03月10日 |
|
脂肪吸引に関する症例写真や動画は
YouTube:sbctakeda-photo
YouTube:sbctakeda-liposuction
で多数紹介していますので
ぜひご覧になってください!
また
Instagram:nekosogitakeda
Twitter:nekosogidoctor
でも紹介していますので
ぜひご覧になってください!
竹田先生のオフィシャルサイトへは
下の画像をクリックしてください!! (お得なモニター情報もあります!!)
 お得なモニターさん情報満載! 劇的ビフォーアフターの写真満載!
楽しいプライベート写真満載!
ぜひご覧ください!
みなさん、お待たせしました!
湘南美容外科・脂肪吸引患者様数
ダントツナンバーワン!

湘南美容外科・全ドクターの脂肪吸引総括指導医

吸引力の落ちない唯一のドクター
の根こそぎ竹田先生です。
今回紹介する患者様は
中国在住の患者様です。
新橋銀座口院は銀座の中心地に近く
銀座を訪れた方はよくご存知かと思いますが
銀座を歩いている人の8割ぐらいは
中国人なのではないかと思うぐらい
中国の方で賑わっています。
そしてそれに伴って私のところにも
たくさんの中国の方がご来院されます。
患者様もそのひとり。
中国で脂肪吸引を受けたものの
皮下脂肪の取り残しが気になって
わざわざご来院いただきました。
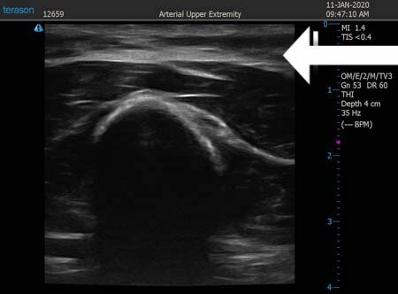
ここでは二の腕の脂肪吸引の術中変化を紹介しましょう。
いつものように3Dタッチビュー(超音波)で
皮下脂肪層を評価してみましょう。
右二の腕
↓ ↓ ↓
上の画像の部分の皮下脂肪層をつまんでみましょう。
↓ ↓ ↓
同様に左二の腕 ↓ ↓ ↓
↓ ↓ ↓
左ちからこぶ
↓ ↓ ↓
↓ ↓ ↓
右ちからこぶ
↓ ↓ ↓
↓ ↓ ↓
この患者様の手術の前には
同じように中国人の患者様の
脂肪吸引を担当させていただいていたのですが
中国での脂肪吸引の再手術でした
やはり脂肪吸引などの美容医療は
信頼のおける日本で受けることをおすすめします。
追記
脂肪吸引に関する症例写真や動画は
YouTube:sbctakeda-photo
YouTube:sbctakeda-liposuction
で多数紹介していますので
ぜひご覧になってください!
また
Instagram:nekosogitakeda
Twitter:nekosogidoctor
でも紹介していますので
ぜひご覧になってください!
大人気!竹田先生についてもっと知ってみよう! 従来の美容外科の脂肪吸引とは ”明らかに一線を画した” 圧倒的吸引量で圧倒的満足度を誇る 「根こそぎ脂肪吸引®」 の開発者です!
 YouTube手術動画掲載数が世界第一位!! その動画へは下のバナー↓をクリック!!もしくはここをクリック!
 FC2動画サイトにも術中動画多数掲載中!! その動画へはここをクリック!
 コロンビアにてベイザーの権威 Dr.Hoyos(ホヨス)に師事し専門医を取得!
 アメリカにて日本人初!にして日本人でただひとり! のベイザー最高位の資格をDr.Matlockのもとで取得!
 日本人初!ライポマティック認定医! の資格をベルギーで取得!
 ロサンゼルスにてUCLAチーフドクターの Dr.Watsonとコラボオペ!!
 日本にてあの有名美容外科医 Dr.Bloomを招へいしコラボオペ!!
脂肪吸引を受けてくれたSBCのスタッフ数も 全ドクターのなかでダントツナンバーワン! (↑スタッフからも圧倒的な支持!)
脂肪吸引リピーター患者様数ダントツナンバーワン! (↑何よりも手術結果に対する患者様の圧倒的な満足度のあかし!)
現役の麻酔科医として一般病院で大活躍中! 美容外科業界最高レベルの安心と安全を提供!
ここをクリック!

楽しいアメブロ連続更新日数及び更新回数ダントツナンバーワン!
(↑ブログファン激増中!)
ここをクリック!

Team竹田先生の精鋭ナースさんによるアメブロはこちらから!
ここをクリック!
リアルタイム更新!根こそぎ竹田先生のfacebookはこちらから!
ここをクリック!

今回紹介した劇的ビフォーアフター!以外のフォトギャラリーは ここをクリック!
 耳寄り情報!根こそぎ竹田先生の お得なモニターさん情報は ここをクリック!
 遠方にお住いのみなさまへ朗報です! 交通費支援制度が始まりました。 ぜひご活用ください!

最後に根こそぎ竹田先生からの熱いメッセージです。
どうぞご覧ください。
上の動画をご覧になれない方はここをクリックしてください!
湘南美容外科のすべての脂肪吸引法において それぞれの脂肪吸引法の範囲内で 最も高い効果をお約束いたします! それは自ら開発した 根こそぎ脂肪吸引® では当然のこと 超音波エルコーニア脂肪吸引 根こそぎボディージェット であっても それぞれの脂肪吸引法の範囲内で 最も高い効果をお約束いたします! そして自ら湘南美容外科に導入し大人気となった ベイザーによる脂肪吸引 ライポマティックによる脂肪吸引 に関しては言うまでもなく 圧倒的な効果をお約束いたします!
さぁ脂肪吸引は 迷わず根こそぎ竹田先生で決まり!! です。
|
|
|