| 太ももの脂肪吸引に満足して次はおなかの脂肪吸引を受ける!術中 |
2017年09月04日 |
|
の状態を紹介する竹田です。
竹田先生のオフィシャルサイトへは 下の画像をクリックしてください!! (お得なモニター情報もあります!!)
 お得なモニターさん情報満載! 劇的ビフォーアフターの写真満載! 楽しいプライベート写真満載! ぜひご覧ください! みなさん、お待たせしました! 湘南美容外科・脂肪吸引患者様数 ダントツナンバーワン!
 湘南美容外科・全ドクターの脂肪吸引総括指導医
 吸引力の落ちない唯一のドクター の根こそぎ竹田先生です。 今回紹介する患者様は 太ももの脂肪吸引を受けてくださり
その結果に非常にご満足いただけたので
次はおなかの脂肪吸引を!
ということでご来院された患者様です。
とても光栄なことです。
今回も全力で患者様の想いにお応えするために
手術を行いましたので
その術中の模様を紹介したいと思います。
まずはいつものように
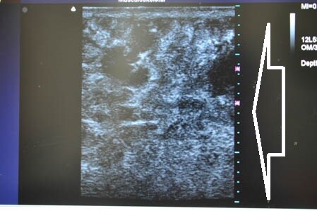
3Dタッチビュー(超音波画像)から見てみましょう。
白い矢印部分が皮下脂肪層です。
上腹部から。
↓ ↓ ↓
上の画像の部分の皮下脂肪層を
つまんでみることにしましょう。
↓ ↓ ↓
下腹部も同様に。
↓ ↓ ↓
↓ ↓ ↓
左腰。
↓ ↓ ↓
↓ ↓ ↓
右腰。
↓ ↓ ↓
↓ ↓ ↓
画像がしっかりと物語ってくれます。
きっちりと皮下脂肪を
根こそぎ!!
脂肪吸引しておきましたので
今回の結果にも間違いなく患者様には
ご満足いただけるものと思います。
この文章を書いている日は
愛知県からも患者様にお越しいただきました。
脂肪吸引総括責任者の私、竹田に
安心してお任せください!! 追記 大人気!竹田先生についてもっと知ってみよう! 従来の美容外科の脂肪吸引とは ”明らかに一線を画した” 圧倒的吸引量で圧倒的満足度を誇る 「根こそぎ脂肪吸引®」 の開発者です!
 YouTube手術動画掲載数が世界第一位!! その動画へは下のバナー↓をクリック!!もしくはここをクリック!
 FC2動画サイトにも術中動画多数掲載中!! その動画へはここをクリック!
 コロンビアにてベイザーの権威 Dr.Hoyos(ホヨス)に師事し専門医を取得!
 アメリカにて日本人初!にして日本人でただひとり! のベイザー最高位の資格をDr.Matlockのもとで取得!
 日本人初!ライポマティック認定医! の資格をベルギーで取得!
 ロサンゼルスにてUCLAチーフドクターの Dr.Watsonとコラボオペ!!
 日本にてあの有名美容外科医 Dr.Bloomを招へいしコラボオペ!! 脂肪吸引を受けてくれたSBCのスタッフ数も 全ドクターのなかでダントツナンバーワン! (↑スタッフからも圧倒的な支持!) 脂肪吸引リピーター患者様数ダントツナンバーワン! (↑何よりも手術結果に対する患者様の圧倒的な満足度のあかし!) 現役の麻酔科医として一般病院で大活躍中! 美容外科業界最高レベルの安心と安全を提供! ここをクリック!
 楽しいアメブロ連続更新日数及び更新回数ダントツナンバーワン! (↑ブログファン激増中!) ここをクリック!
 Team竹田先生の精鋭ナースさんによるアメブロはこちらから! ここをクリック! リアルタイム更新!根こそぎ竹田先生のfacebookはこちらから! ここをクリック!
 今回紹介した劇的ビフォーアフター!以外のフォトギャラリーは ここをクリック!
 耳寄り情報!根こそぎ竹田先生の お得なモニターさん情報は ここをクリック!
 遠方にお住いのみなさまへ朗報です! 交通費支援制度が始まりました。 ぜひご活用ください!
 最後に根こそぎ竹田先生からの熱いメッセージです。 どうぞご覧ください。
上の動画をご覧になれない方はここをクリックしてください! 湘南美容外科のすべての脂肪吸引法において それぞれの脂肪吸引法の範囲内で 最も高い効果をお約束いたします! それは自ら開発した 根こそぎ脂肪吸引® では当然のこと 超音波エルコーニア脂肪吸引 根こそぎボディージェット であっても それぞれの脂肪吸引法の範囲内で 最も高い効果をお約束いたします! そして自ら湘南美容外科に導入し大人気となった ベイザーによる脂肪吸引 ライポマティックによる脂肪吸引 に関しては言うまでもなく 圧倒的な効果をお約束いたします! さぁ脂肪吸引は 迷わず根こそぎ竹田先生で決まり!! です。
|
|
|